"Разбитое сердце" или синдром Такоцубо
Тут достаточно много текста, есть картинки и видео, есть медицинские термины, которые я постарался максимально упростить, кому все это не интересно или раздражает - можно смело пролистывать и не читать. Пост исключительно в "образовательных" целях - может пригодится кому нибудь, когда нибудь ))
Итак. Представьте себе, у вас спокойная, размеренная жизнь, без лишних эмоций, сердце спокойно бьется в правильном ритме и тут неожиданно случается какая-то стрессовая ситуация (смерть близких, катастрофические новости/известия, финансовый крах, физическая боль и др.) – этот момент можно назвать «эмоциональным цунами». В это время в кровь выбрасывается мощный коктейль из адреналина и стрессовых гормонов, в результате чего микрососуды сердца словно «сжимаются в испуге» - спазмируются и поступление крови к главному «насосу» сердца = левому желудочку, резко сокращается. Без кислорода мышечные клетки не умирают, как при классическом инфаркте миокарда, они словно цепенеют, «замораживаются» (гибернируются). Самая уязвимая и самая важная часть левого желудочка (ЛЖ) – верхушка, теряет тонус и перестает нормально сокращаться – возникает акинезия (отсутствие сокращения) и дискинезия (парадоксальное выпячивание). Верхушка левого желудочка «надувается» как при аневризме, в то время как базальные сегменты продолжают сокращаться с удвоенной силой, пытаясь компенсировать общее падение сократимости ЛЖ.
Со стороны на вентрикулографии сердце выглядит необычно: оно напоминает японский горшок для ловли осминогов – такоцубо. Широкое круглое дно (верхушка) и узкое горлышко (базальные сегменты), сердце буквально меняет форму от мощного стресса:
Такие пациенты как правило поступают в больнички с диагнозом инфаркт миокарда и если им не делать коронарографию, и не смотреть состояние левого желудочка (вентрикулография - ЛВГ, УЗИ сердца) они так и выписываются с диагнозом инфаркт миокарда, хотя это не инфаркт в классическом варианте. Сосуды сердца (коронарные артерии) либо совсем не поражены, либо поражение их незначимое, которое не может привести к инфаркту. При этом на ЛВГ или УЗИ картина большого переднего инфаркта миокарда (в подавляющем большинстве случаев, хотя мы видели Такоцубо с атипичной локализацией - нижняя и боковая стенки ЛЖ).
А при чем тут вообще «эмоциональное цунами», «такоцубо», откуда эти японизмы? Тут все просто – первое сообщение о синдроме «разбитого сердца/стрессовой кардиопатии» = Такоцубо было сделано в Японии в 1991 году (кто первый, того и термин), в последующем число публикаций о Такоцубо только росло (можно погуглить или пояндексить "Takotsubo").
Факты про Такоцубо:
Может составлять до 2% предполагаемых ОКС
Внутригоспитальная летальность в пределах 0-8% (да, иногда умирают, особенно если неправильно лечить)
Значительно чаще у женщин (~90%), особенно в постменопаузе (>80% всех случаев)
Средний возраст 58-75 лет
Триггеры: стрессовые факторы
Рецидивы до 10% (у нас было пару случаев)
Клинические проявления похожи на инфаркт миокарда (может в том числе развиться кардиогенный шок или отек легких)
При этом весьма умеренное повышение КФК (креатинфосфокиназа) и тропонина (не соответствующее массивному гипо-акинезу-дискинезу верхушки левого желудочка)
На ЭКГ тоже весьма умеренные изменения (преходящие)
На КАГ – проходимые артерии, без обструкции, окклюзий
Лечение симптоматическое
Из хорошего - восстановление функции ЛЖ обычно в течение 1-4 недель (ЭХО контроль).
В целом, прогноз благоприятный. Если пациент/ка выживает в «активной фазе» долговременный прогноз хороший.
И несколько клинических случаев с синдромом Такоцубо:
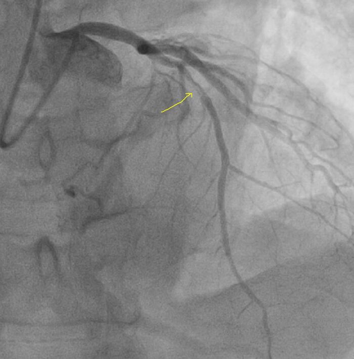
Ж 65 лет, интенсивные давящие боли за грудиной без иррадиации, волнообразного характера, развившиеся в покое после известия от соседки, что ее квартиру затопили соседи сверху. Так как находилась относительно рядом с нашей больничкой, самостоятельно добралась до стационара и обратилась в приемное отделение. На ЭКГ "вздернутость" сегмента ST в левых грудных отведениях. Обезболена, выполняется экстренная коронарография, где относительно "чистые" сосуды, при этом при контрастировании левого желудочка выявлен обширный дискинез верхушки с гиперкинезом базальных сегментов, с учетом этого заподозрена "стрессовая" кардиопатия - синдром Такоцубо.
Левая коронарная артерия без поражения
Незначимое поражение правой коронарной артерии
Контрастирование левого желудочка не специализированным катетером для скрининга нарушений сократимости ЛЖ - дискинезия верхушки
Данные биохимии в динамике (скромные цифры КФК и тропонина, при такой дискинезии ЛЖ - подтвержденной на УЗИ) позволило предварительно диагностировать синдром Такоцубо. В дальнейшем симптоматическое лечение. На ЭХО-КГ полное восстановление сократимости ЛЖ через месяц.
2. Ж. 78 лет, ухудшение примерно в течение 1 суток, связывает с перенесенным накануне вечером сильным эмоциональным стрессом: "поздно ночью" с 27 на 28 09 стало "болеть в груди", в левой подлопаточной области в межлопаточном пространстве, в нижней трети грудины, давящая и колющая боль, которую пыталась купировать "успокоительным" - называет "нозепам", но точно название препарата не помнит, утверждает, что за 8 часов выпила 7 таблеток. Боль в груди прошла "сегодня днем" (28 09), однако развилась резкая общая слабость - "даже не могла поднять руку", пришедшие навестить дети вызвали СМП.
На ЭКГ СМП умеренная элевация ST II V3-V6 косовосходящего характера, без рецидивов ангинозного синдрома. Доставлена в XX, экстренно транспортирована в ОРИТ.
Экстренная коронарография:
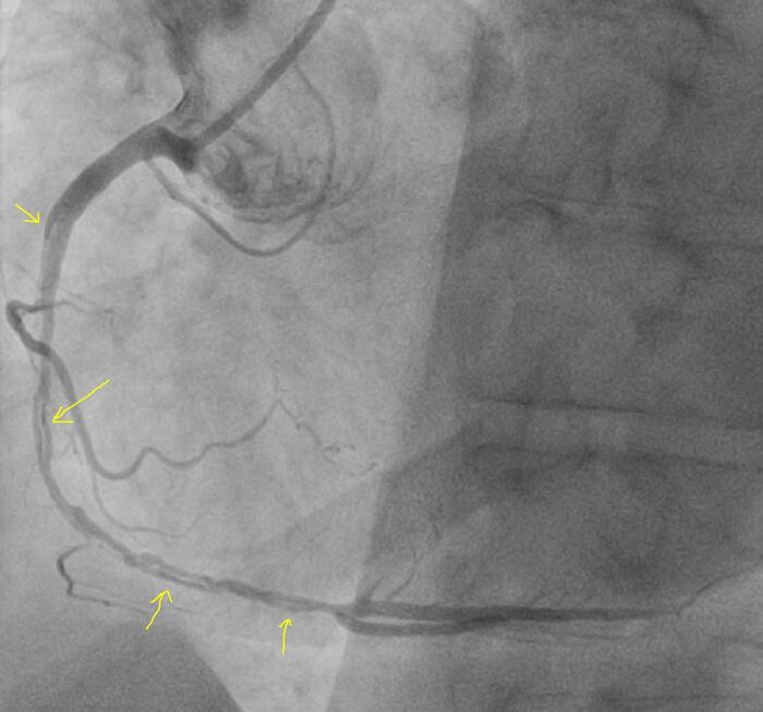
Левая коронарная артерия - незначимое поражение
Правая коронарная артерия - без значимого поражения, кровоток свободный
Контрастирование левого желудочка - обширная зона акинезии и дискинезии передне-боковой и части задней стенки, гиперкинез базальных отделов
При этом Тропонин T 0.65 ng /ml, КФК 613 е/л. Предварительно выставлен диагноз стрессовая кардиопатия Такоцубо. Лечение симптоматическое, в динамике на ЭХО КГ полное восстановление сократимости левого желудочка.
3. Ж. 60 лет, фельдшер, работала в администрации города - эпизод интенсивной жгучей боли за грудиной на высоте эмоциональной нагрузки (смерть посетителя, пришедшего на прием - она принимала участие в оказании первой помощи, в т.ч. реанимации - наружный массаж) по поводу которого больная была госпитализирована БСМП в XX, на ЭКГ ,,вздернутость" сегмента ST с отведениях передне-боковой ст ЛЖ преходящего характера. Обезболена догоспитально. За время нахождения в к\о XX болевой синдром не рецидивировал, гемодинамических нарушений нет. Утром при контрольной ЭКГ - ишемия передне-верхушечно, боковой ст ЛЖ (отриц Т), кроме того положительные результаты исследования биомаркеров повреждения миокарда ( тропонин Т 0,254 нг\мл) По договоренности переведена к нам для проведения КАГ с намерением ЧКВ).
На КАГ:
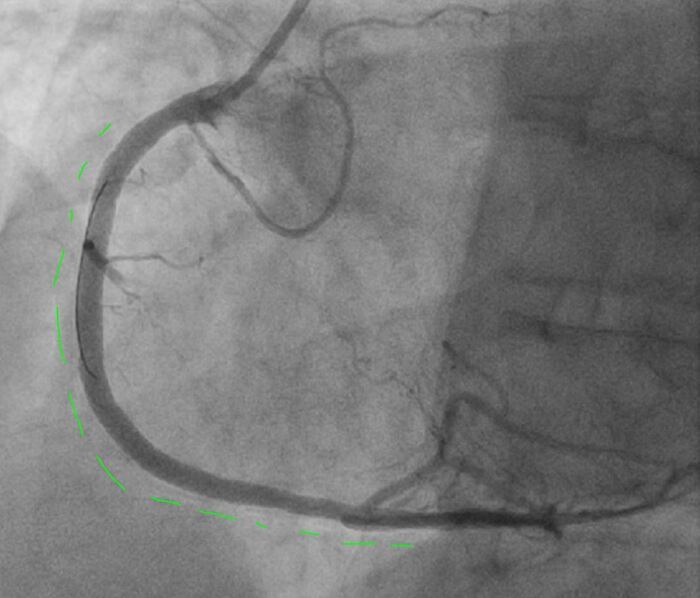
Левая коронарная артерия, проходима, без значимого поражения, дистальный кровоток свободен
Правая коронарная артерия, неровности контуров, кровоток свободный.
Контрастирование левого желудочка - дискинезия верхушки, передне-бокового и задне-диафрагмального сегментов, гиперкинез базальных отделов.
В заключение: ежегодно у нас встречается синдром "разбитого сердца/стрессовая кардиопатия" он же синдром Такоцубо (примерно 3-4 случая в год) - верифицированный ангиографией и ЭХО/ЛВГ + динамика анализов с ЭКГ. В целом же, там где нет ангиографии, он вообще не диагностируется, пациенты ведутся как с ИМ. Своих врачей (они все опытные профи) я призываю - если есть подозрение на инфаркт, но при этом "чистые" сосуды - посмотрите кинетику левого желудочка, даже не Pigtail катетером, просто аккуратно тем же катетером, которым делали коронарографию (если он конечно достаточно большой по диаметру - 6 френч к примеру) - хотя по классике нужно делать специализированным Pigtail, это займет всего пару-тройку доп. минут, зато диагностический поиск будет значительно сужен.

























